Voorbeelden van behandelingen


Spleetje tussen tanden sluiten

Mevrouw stoorde zich aan het spleetje tussen haar voortanden. Ze twijfelde of ze hiervoor een beugel ging nemen. Met tijdelijke composietfacings kreeg ze een indruk hoe het eruit zou zien als wij het met deze manier op gingen lossen. Uiteindelijk heeft mevrouw er toch voor gekomen om een beugel te nemen en konden de tijdelijke composietfacings gemakkelijk verwijderd worden.

De behandeling kan zonder verdoving worden uitgevoerd.

Behandelduur: 20 minuten.


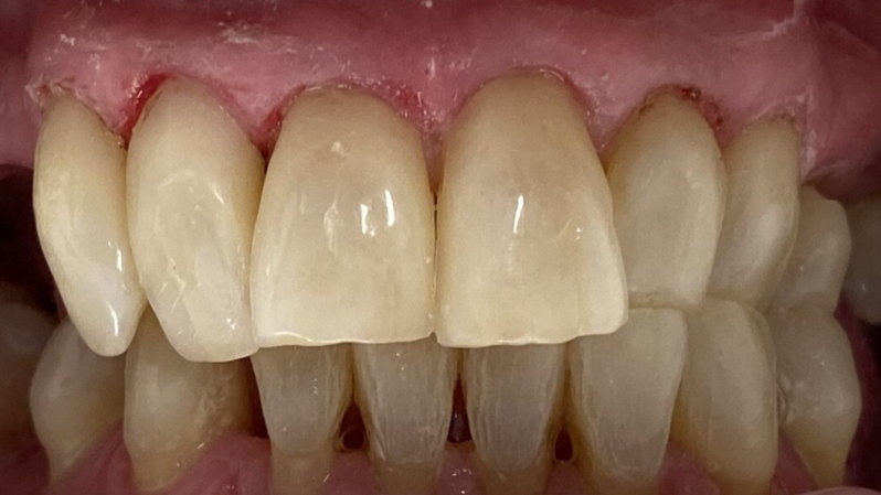
Composietfacings

Mevrouw stoorde zich aan het spleetje tussen haar voortanden en de slijtage bij de tandhalzen. Mevrouw wilde geen beugel om de stand van de tanden te corrigeren. Middels composietfacings is alles opgevuld. Er is niet geslepen aan de tanden. De behandeling kon zonder verdoving worden uitgevoerd.

Behandelduur: 60 minuten.


Correctie tandvorm

Mevrouw is geboren zonder de twee kleine voortanden. Ze stoorde zich aan de afwijkende vorm van haar hoektanden die nu op deze positie staan. Middels composietvullingen hebben we de vorm aangepast. Aan de tanden zelf is niet geslepen. De behandeling kan zonder verdoving worden uitgevoerd. Mevrouw kan er later voor kiezen om ook de tanden die op de positie van de hoektanden aan te laten passen voor een nog mooier resultaat.

Behandelduur: 40 minuten.


Maskeren kleurverschil en correctie tandstand

Mevrouw is ooit gevallen met de fiets. Door een trauma is de zenuw afgestorven waarna hij verkleurd is. Het bleken van de tand gaf onvoldoende verbetering. Ook stoorde zij zich aan de gedraaide voortand. Mevrouw wilde geen beugel om de stand te corrigeren. Met composietfacings is de kleur en stand gecorrigeerd.

Behandelduur: 60 minuten.


Vervangen verkleurde vullingen

Meneer stoorde zich aan de verkleurde randen rondom zijn vullingen. Meneer wilde niets doen aan de stand van de tanden. De verkleurde vullingen zijn vervangen. Behandelduur: 60 minuten.


Opfrissen voortanden met composiet facings

Meneer stoorde zich aan de verkleuringen op zijn voortanden, maar wilde geen ingrijpende of dure behandeling. Meneer vond het ook erg belangrijk dat de nieuwe situatie natuurlijk oogt en past bij zijn leeftijd. Met vier composietfacings zijn de verkleuringen niet meer zichtbaar en vormt het nu een rustig geheel met de rest van de tanden. Er is niet in tandweefsel geslepen. Het tandsteen bij de ondertanden werd na de behandeling nog verwijderd door de mondhygiëniste. Behandelduur: 60 minuten.

Maak jouw eigen website met JouwWeb